小児歯科

    クリーニング

    当院では、お子さま治療に当たっては、お子さまが歯科医院に来ることが嫌がらないように、恐怖心を取り除いてあげることが基本と考えています。

    歯科医院は大人でも怖いのですから、ましてお子さまの歯を最初から削るようなことはしません。
    まずお口の中を拝見して、お子さんに鏡を使って実際に自分の虫歯を見せてあげると、治療が必要だと納得してくれます。
    それから、「次は自分の歯ブラシを持ってきて」とブラッシングの指導をするというふうに順序だてて治療をすすめております。

    当院では、ほとんどのお子さまがしっかりと治療を完了できていますので、子どもが泣いたり暴れたりしないか心配、という方も、ぜひ安心してご来院ください。

    乳歯の特徴と役割

    小児歯科

    乳歯、生えてきたばかりの幼若な永久歯は、大人の歯と比べてむし歯になりやすく、進行が早いのが特徴です。

    特に乳歯は、「いずれ、はえ代わるから痛みがなければ子供の虫歯は放っておいても良い」と疎かにしがちですが、乳歯が果たす役割は、大変重要です。

    子供の成長、むし歯にならない強い永久歯をつくるために、乳歯をきちんと治療しておくことは大切なことです。

    • ものを噛む
    • 歯があることで、食べ物を噛み切ったり、引き裂いたり、噛み砕く事が出来ます。そうすることで顔や顎の発育を助けたり、顔の形を整える働きをします。いろいろなものが食べられる事で、体も大きく、丈夫になっていきます。

    • 発音
    • 乳歯があることで、正しい発音を覚えるようになります。

    • 永久歯が正しく生えるための案内役
    • 乳歯には永久歯を正しい位置に誘導する役目もあります。(特に6歳臼歯の前の第二小乳臼歯)
      乳歯をむし歯にしたまま放置すると、乳歯の根の先にある永久歯も感染しますので、むし歯の状態ではえてきます。(乳歯がはえ始める頃には永久歯は育ち始めています。)
      また、乳歯を早めに抜いてしまうと歯並びやかみ合わせが悪くなります。(ケースにより歯が寄らないように装置を入れることが必要とります。)

     

    乳幼児期に歯や口の中に見受けられる異常

    上皮真珠

    小児歯科

    乳歯が生える前、あるいは生えかけの頃、乳犬歯や乳臼歯あたりの歯ぐきに白上皮真珠い塊ができることがあります。

    これは上皮真珠といい、脂肪の塊のようなもので、歯ではありませんが、自然に消えていくので心配することはありません。
    特に何か処置をすることもありません。 痛みもありませんし、なんら害を及ぼすこともありません。

    写真の白いふくらみは、赤ちゃんの右上乳犬歯が生えてくる場所に相当する位置です。

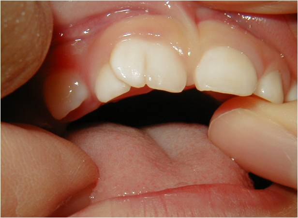
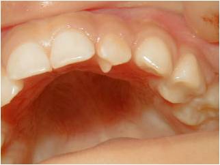
    歯の奇形

    小児歯科

    歯の奇形左の写真は乳前歯の奇形です。
    T字型をした歯が生えてきているのですが、お母さん方からは、歯の裏からもう一本歯が出てきた、どうすればいいでしょうかと相談を受けます。

    この角(ツノ)のように尖った部分と、下の前歯のあたり具合で歯がかけると、その歯が腐ってきます。
    歯が欠けないように処置する必要があることもあります。できるだけ早めに、かかりつけ歯科医院の先生に診てもらいましょう。

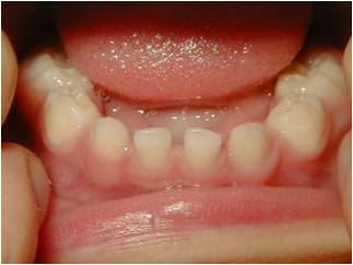
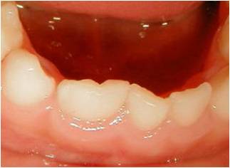
    萌出順序の異常

    小児歯科

    「歯の生えて来る萌出順序の異常順番がおかしい」と言って心配される方がけっこういます。
    「真ん中の歯が生えずに、横から出てきたがどうすればいいでしょうか」、と言う質問を受けることもあります。

    多くの場合、しばらく待っていれば生えてくるものです。歯ぐきに膨らみがあれば、まず大丈夫です。
    この写真のお子さんも、真ん中の歯が遅れて生えてきたケースです。しかし、時には歯が先天的に無いこともあります。

    エナメル形成不全

    小児歯科 小児歯科

    乳中切歯の表面が少し黄色くなっている左の写真は、エナメル質が正常出来上がらなかったものです。妊娠中のお母さんの体調が悪くてなることもあるようですが、原因ははっきりしません。

    白い正常な部分のエナメル質と比べると、歯の質が弱いのでむし歯になりやすいと言えますが、右は、食生活に注意し、手入れをしっかりした 1年3ヵ月後の写真です。

    癒合歯

    小児歯科

    癒合歯(乳中・乳側切歯)左の写真は、乳中切歯と乳側切歯が二本くっついたケースです。 多くの場合、すぐに処置をせず、永久歯との交換まで経過を観察します。

    しかし、歯のくっついている境目のところはエナメル質が薄いので、むし歯になりやすいため注意が必要です。

    小児歯科

    写真は、右下の乳中切歯と乳側切歯が癒合しているのですが、見た目には一本の大き目の歯に見えます。
    永久歯との交換の時期には、生え変わる永久歯が顎の中でどのようになっているのか、レントゲンを撮ってきちんと検査する必要があります。

    それは、永久歯もくっついている場合、後続の永久歯がない場合(先天性欠如歯)などが考えられるためです。

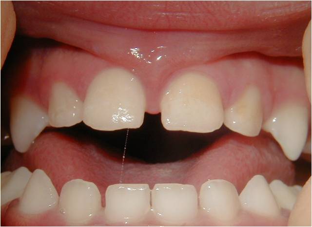
    上唇小帯付着異常

    小児歯科

    歯ぐきから上唇につながる襞のことを、上唇小帯と言います。

    この写真のように、歯のすぐ際までくっ付いていることがあります。このような場合、歯と歯の間に隙間が出来るので、早めに切除すべきと言う意見がありますが、私は永久歯の歯並びに影響するかどうか判断しなければいけない、6~7歳まで待ってもいいのではないかと思います。

    ただし、ていねいにブラッシングしなければ、すぐにむし歯になってしまいます。

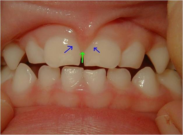
    歯を磨く時の注意

    小児歯科

    上辰小帯異常の歯みがき写真の緑の矢印の部分に、歯ブラシがあたらないようにすることが大切です。
    ココにあたると痛くて歯みがきを嫌がります。青い矢印の個所に汚れがたまりやすいので、ココに注意しながら右と左の歯を、それぞれ1本づつ別々に磨くようにしましょう。

    二本の歯をまとめて磨こうとしてはいけません。歯ブラシの動きは、この場合横に動かすより、上から斜め下に動かすと良いでしょう。

    先天性欠損

    小児歯科

    時には、歯の数が不足していることもあります。
    歯の芽そのものが無く、先天性欠損といい、写真のお子さんは、下の前歯が2本足りません。

    糸切り歯から糸切り歯まで全部で6本あるはずの歯の数が4本しかありません(乳側切歯が欠損) 。左右対称に不足するケース、片方だけが不足するケースなど様々ですが、このような場合、生えてくる永久歯がないことも(先天性欠如歯)よくありますので、レントゲン検査を受けることが大切です。

     

 

PAGE TOP