解りやすいご説明

    解りやすいご説明

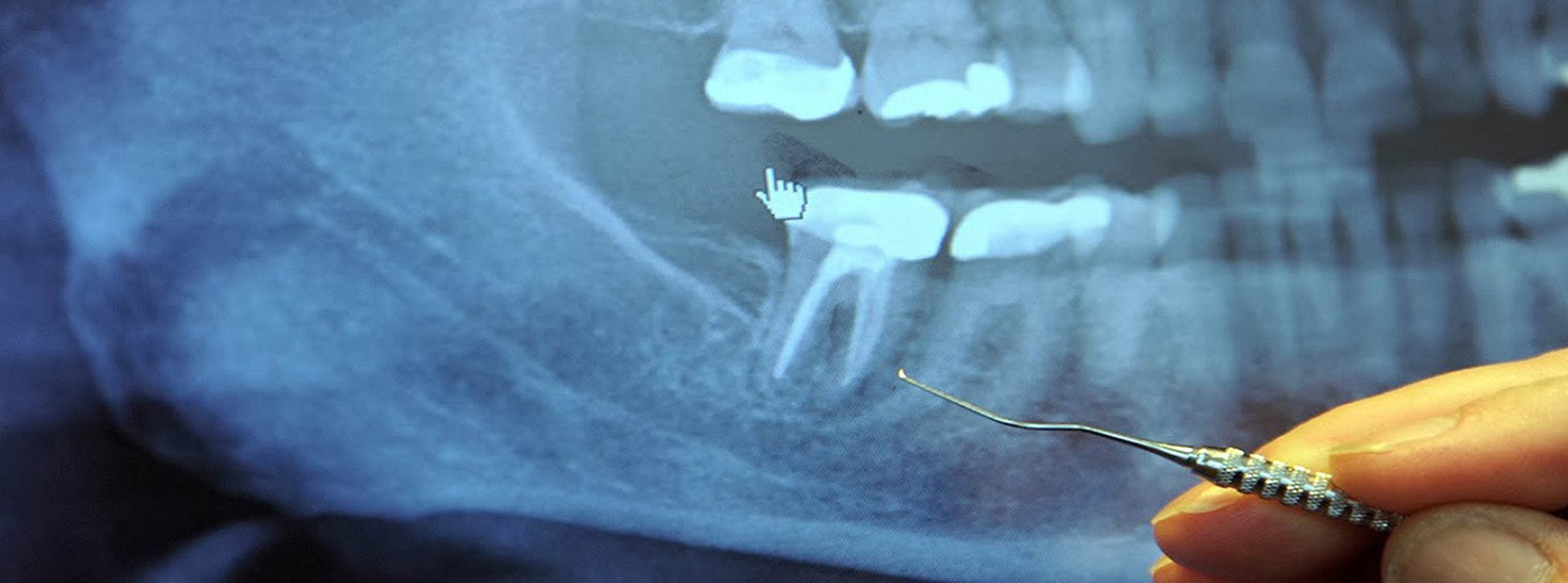
    当院では、診断結果を患者さまに説明する際は、レントゲン写真を見せたり、手鏡でお口の中をご自身で見ていただいたりしながら、目で見て分かりやすい解説に努めています。

    例えば、歯の汚れに着色できる染め出し液を2種類使用して、磨き残しが多い部分を見極める工夫もしています。
    患者さまの歯磨きの癖を直すためにブラッシング指導を行い、染め出し液の結果をもとにした資料をお渡ししますので、お持ち帰りいただき、セルフケアのモチベーションを上げていただけると何よりです。

     

    治療後のイメージを患者様としっかり共有

    解りやすいご説明

    ホワイトニングを行う前に大切なのは、患者さまと歯科医院側の認識をしっかりとすり合わせることです。「白い」という言葉だけでは、患者さま一人ひとりがイメージする白さに違いが生じてしまうからです。施術後に「思ったより白くならなかった」「白くなりすぎて不自然に見える」などとならないよう、ていねいにコミュニケーションをとってまいります。

    そのために、シェードガイドと呼ばれる色見本で目指す歯の色味を視覚的にご確認いただいたり、施術前後に写真を撮影し、どれくらい変化があったかを見ていただいたりしております。そうすることで、患者さまのモチベーション維持にもつながると考えております。

    前向きに施術に取り組んでいただくことはもちろん、施術後も笑顔で過ごしていただけるようサポートいたします。

     

    コミュニケーションを大切に

    解りやすいご説明

    当院が大切にしていることは、患者さまのお気持ちに寄り添って、コミュニケーションを通して診療を行うことです。

    1人の患者様に少なくとも30分の時間をかけ丁寧な説明と治療を心がけております。

    いきなり治療するのではなく、日常会話を取り入れたり、笑顔で話しかけたりして、なごやかな雰囲気で治療を受けていただけるよう努めています。

 

PAGE TOP